Korkunç! Beyninde 100 tane kurt tespit ettiler!
Devamlı epilepsi nöbetleri geçiren ve baş ağrısı çeken sekiz yaşındaki kız çocuğuna, beyninde kist olabileceği düşünülerek, steroid tedavisi verildi
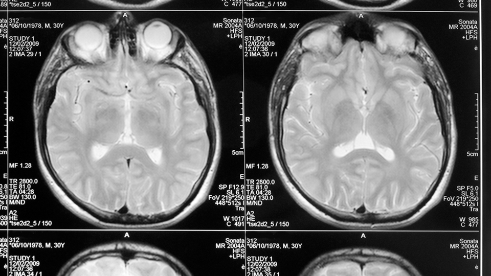
Sekiz yaşındaki kız çocuğunun sürekli geçirdiği epilepsi nöbetinin arkasından öyle bir şey çıktı ki... İsmi açıklanmayan çocuğun beyninde 100 tane tenya yumurtası tespit edildi.
İngiliz gazete Daily Mail'de yer alan habere göre; sürekli epilepsi nöbetleri geçiren ve baş ağrısı çeken sekiz yaşındaki kız çocuğuna, beyninde kist olabileceği düşünülerek, steroid tedavisi verildi. Altı aydan sonra küçük kızın nefesi kesilmeye ve yürüyememeye başladı. Yapılan taramaların ardından minik kızın beyninde 100 tane tenya yumurtası olduğunu tespit ettiler. Beynindeki kurtçuklar çıkarıldıktan sonra küçük kız iyileşti ve yürümeye başladı.
İŞTE BEYNİNDEKİ KURTÇUKLARIN SEBEBİ...
Doktorlar, talihsiz çocuğun beynindeki bu kurtçukların yıkanmamış meyveden ya da pişmemiş domuz etinden kaynaklandığını düşünüyor.
Küçük kızın babası, "Kızımızın korkunç bir hastalık yaşadığı konusunda hiçbir fikrimiz yoktu. Önce kafasındaki şişliği gidermek için ilaç tedavisine başlandı, ardından da tenyaları öldürmek için terapiye başlandı. Böylece steroidlerden aldığı kiloları da vermeye başladı ve okuluna döndü. Sağlıklı ve neşeli olan kızımızın bu kadar korkunç bir hastalık yaşayabileceği konusunda en ufak bir fikrimiz yoktu. Ama sanırım kurtçukların yumurtalarından çıkmadan önce bulunmaları ve kızımızın beynine daha fazla zarar vermeden doğru tedaviyi almamız şanslı olduğumuzu gösteriyor" dedi.