Habertürk
    Takipde Kalın!
      Günlük gelişmeleri takip edebilmek için habertürk uygulamasını indirin
        Haberler Sağlık Akciğer kanserinin belirtileri | Sağlık Haberleri
        7

        3) Kanlı balgam
        4) İştah kaybı ve zayıflama

        8

        5) Göğüs ağrısı
        6) Ses kısıklığı
        7) Yutma güçlüğü

        9

        RİSK YAŞLA BERABER ARTIYOR!

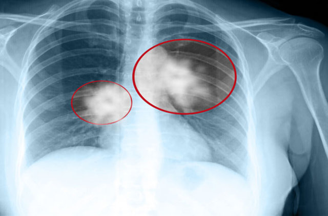
        Akciğerlerin her ikisinin ya da birinin dokusunda, anormal hücrelerin kontrolsüz büyümeleri ve çoğalması ile gelişen kötü huylu tümörler, akciğer kanseri tablosunu ortaya çıkarır. Akciğer kanserinde yaş önemli bir faktördür.

        10

        Yaş ilerledikçe görülme sıklığı artar. Akciğer kanseri, 45 yaş altında nadiren ortaya çıkabilirken, genellikle 50-70 yaşlarında tanı konulur. Akciğer kanserinin kadınlarda görülme sıklığı ise giderek artar bir konumda...

        11

        SİGARAYI BIRAKIN!

        Önlenebilir bir hastalık olan akciğer kanserinden korunmak için öncelikle içiliyorsa sigara bırakılmalıdır. Sigarayı bırakmakla risk azalmaya başlar ve yaklaşık olarak 10 yıl sonra akciğer kanseri oluşma riski yaklaşık olarak yüzde 50 azalmış olur.

        12

        Sigara içmemek ve sigara içilen ortamlardan uzak durmak akciğer kanserini önlemenin en basit yoludur. Akciğer kanseri vakalarının yüzde 85’i sigaradan kaynaklanır. Günde tüketilen 1 paket sigaranın, akciğer kanseri riskini 20 kat daha artırdığını unutmamakta fayda var.

        13

        DOĞRU BESLENME ÖNEMLİ

        Akciğer kanseri konusunda yapılan birçok çalışma, günde en az 5 porsiyon meyve ve sebze tüketen kişilerde akciğer kanseri riskinin daha düşük olduğunu gösteriyor. Akciğer kanseri riskini azaltan önlemler kadar kanser riskini artırabilen unsurlar da söz konusudur. Örneğin sigara içen kişilerin “A vitamini ve beta karoten” yönünden zengin gıdalar tüketmesinin riski artırdığı biliniyor.

        14

        ERKEN EVREDE BAŞARI İLE TEDAVİ EDİLİYOR

        Akciğer kanserinin belirtileriyle karşılaşıldığında mutlaka doktora başvurulmalıdır. Ayrıntılı muayene, aile öyküsünün alınması ve uygun tetkiklerle tanı konulabilir. Akciğer kanseri erken evrelerde tespit edildiğinde başarıyla tedavi edilebiliyor.

        15

        Akciğer kanserinde tedavi şekli; kanserin tipi, tümörün büyüklüğü, yerleşimi, yaygınlığı ve hastanın genel durumuna göre belirlenir. Günümüzde modern tedavi yöntemleri sayesinde hastaların yaşam kalitesi ve süresi artmış durumdadır.