Habertürk
    Takipde Kalın!
      Günlük gelişmeleri takip edebilmek için habertürk uygulamasını indirin
        Haberler Sağlık Kaza geçirdi! Asla olmaz diye düşündüğü şey oldu! | Sağlık Haberleri

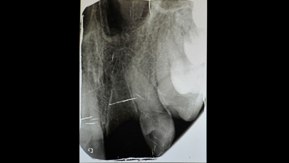
        Sivas'ta okul servisinden inerken arkadaşının dirseğini yanlışlıkla yüzüne çarpması sonucu ön iki dişi yerinden çıkan ve gittiği hastanede dişleri yeniden takılan Tuğçe Özdivrik (12) eski sağlığına kavuştu.

        DHA'nın haberine göre; operasyonu yapan Diş hekimi Ersin Kuş, toplumun dişin yeniden yerine takılabildiği konusunda bilinçsiz olduğunu belirterek, yerinden çıkan dişin erken müdahale ile takılabildiğini söyledi.

        DİŞLERDEN BİRİ YANLIŞLIKLA ÇÖPE GİTTİ

        Tuğçe Özdivrik, 16 Şubat günü akşam saatlerinde okul servisinden inerken arkadaşı dirseğini yanlışlıkla yüzüne çarptı. Çarpmanın şiddetiyle başı dönen Tuğçe'nin ön iki dişi de servise düştü. Tuğçe servise düşen dişlerini peçeteye sararak evine gitti. Kızını kanlar içerisinde gören Lütfiye Özdivrik, peçeteyle Tuğçe'nin yüzünü temizledi. Yanlışlıkla dişlerden birini evdeki çöp kutusuna atan anne, diğer dişi yanına alarak, kızını Sivas Ağız ve Diş Sağlığı Hastanesi'ne götürdü.

        REKLAM

        Hastanede Tuğçe'ye ilk müdahaleyi diş hekimi Ersin Kuş yaptı. Ailenin yanında götürdüğü dişlerden birini hemen yerine takan diş hekimi, aileden diğer dişi istedi. Annenin yanlışlıkla dişi çöpe attığını öğrenen diş hekimi Kuş, zaman geçirmeden dişin getirilmesini istedi. Aile eve giderek çöpteki dişi aldı ve doktorun tavsiyesiyle süt içerisinde hastaneye getirdi. Diş hekimi Ersin Kuş, diğer dişi de tekrar yerine takarak Tuğçe'nin tedavisini tamamladı. Aradan geçen 5 ayın ardından kontrole giden Tuğçe, dişlerinin eski sağlığına kavuştuğunu öğrendi.

        'DİŞLERİM DÜŞÜNCE ÇOK KORKTUM'

        Dişleri düşünce çok korktuğunu ve karanlıkta dişlerini bularak eve götürdüğünü belirten Tuğçe Özdivrik, "Akşam servisten inerken başka bir çocuk dişime çarpınca dişlerim yere döküldü. Ben korktum, başım falan döndü. Sonra yerde karanlıkta dişlerimi aradım, yerden 2 tane dişimi aldım, peçetenin arasına koydum. Eve gidince annem dişimin birini yanlışlıkla çöpe atmış. Hastaneye getirdi annem beni. Elimdeki bir dişi geri taktı, diğerini sordu. Ablam hemen eve gitti, çöpten aldığı dişi sütün içerisine koyarak buraya getirdi. Doktor onu da taktı. Ben dişlerimin yeniden takılacağını bilmiyordum, atılacak sanıyordum. Şu an bir sorunum yok kontrollerime geliyorum" dedi.

        'DİŞİN TEKRAR YERİNE TAKILDIĞINI BİLMİYORDUK'

        REKLAM

        Tuğçe'nin annesi Lütfiye Özdivrik yerinden çıkan dişin tekrar takılacağını bilmediğini ifade ederek, "Tuğçe kanlar içerisinde gelince dişin birisini peçeteyle almışım, diğeri kanlı diye çöpe atmışım. Sonra büyük bir stres altında hastaneye geldik. Gelince doktor 'Diş yanınızda mı?' diye sorunca, 'Biri yanımızda' dedik. Onu takarken 'Hemen diğerini bulmanızı istiyorum, bulursanız başarı oranım yükselir' dedi. Diğer kızım hemen eve gitti. Peçetelerin içerisinde dişi alıp sütün içerisine koyarak getirdi. Hocamız hemen müdahale etti, yerine yerleştirdi. İkinci dişte süre daha uzun olduğu için olmama ihtimalinin yüksek olduğunu söyledi. Ama çok şükür oldu. Hocamız çok uğraştı onun yardımıyla oldu, yoksa protez olacaktı" diye konuştu.

        Baba Celal Özdivrik de ailelerin bu konuda bilinçli olması gerektiğini ifade ederek, "Biz olay günü dişleri düştüğünde artık o dişlerden ümidimizi kesmiştik. Ancak hocamın da yoğun ilgisi sayesinde o dişlerin yerine monte olduğunu öğrendik. Uzun süreli bir tedavi süreci oldu ama başarılı oldu. Ağız ve Diş Hastalığı Hastanesi'ne teşekkür ediyorum. Tuğçe şu anda her şeyi yiyip içiyor. Hatta yememesi gereken sert gıdaları bile rahatlıkla yiyebiliyor. Havuç, salatalık gibi gıdaları rahatlıkla yiyebiliyor. Ailelerin bu konuda bilinçli olması lazım. Biz de bilmiyorduk, öğrendik" dedi.

        'TOPLUM BU KONUDA BİLİNÇSİZ'

        Sivas Ağız ve Diş Sağlığı Hastanesi Diş Hekimi Ersin Kuş ise toplumun dişin yeniden yerine takılabildiği konusunda bilinçsiz olduğunu, dişin yerinden çıkması halinde peçeteye konulmaması, zaman geçirilmeden süt veya ağız içerisinde diş hekimine gidilmesi gerektiğini ifade etti. Ersin Kuş, "Kaza sonucunda yerinden çıkan dişler reimplantasyon yöntemiyle yerine takılabilmektedir. Hastamız da nöbetçi polikliniğimize başvurdu. Hastanın kaza geçirdiğini öğrendim. Muayene yapınca dişlerinin yerinde olmadığını fark ettim. Sonra dişin birinin kendilerinde olduğunu söylediler. O dişi hemen yerine yerleştirdik ve diğer dişi bulmaları için ailesine bilgi verdim. Yarım saat 45 dakika sonra dişi getirdiler. Özellikle süt içerisinde getirmelerini söyledim. Çünkü kuru kalan dişlerin başarı oranı azalmaktadır. Bu gibi durumlarda özellikle süt içerisinde hastanın dişlerini getirmesi süt bulamaz ise ağız içerisinde taşınması önemlidir. Daha sonra dişleri yerine yerleştirdik filmleri aldık. Bir ay boyunca dişi sabitlemek zorundaydık. 4 hafta sonra yapılan kotrolde tedavinin başarılı olduğunu gördüm" ifadelerini kullandı.

        GÜNÜN ÖNEMLİ MANŞETLERİ