Sigaradan kurtulanlarda akciğer kanseri riski 20 dakika sonra azalmaya başlıyor
Akciğer kanseri dünya çapında ve Türkiye'de kanserden kaynaklanan ölümlerin en yaygın nedenidir. 17 Kasım Dünya Akciğer Kanseri Farkındalık Günü kapsamında görüş bildiren Dokuz Eylül Üniversitesi Öğretim Üyesi Prof. Dr. Oğuz Kılınç, akciğer kanserinin başlıca nedeninin tütün kullanımı olduğunu vurgulayarak "Sigaradan kurtulanların akciğer kanseri olma riski 20 dakikadan itibaren azalmaya başlar, risk 15 yılda içmeyenlerle benzer oranlara ulaşır" dedi
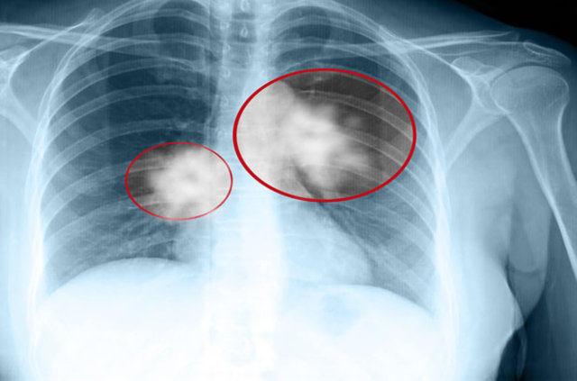
Bu tümörler, erken dönemlerde yıllar boyunca belirgin bir şikâyete neden olmadan sinsi bir şekilde kalabilir. Hastalık ilerleyince en sık görülen şikayetler geçmeyen öksürük, kan tükürme, halsizlik, iştahsızlık ve kilo kaybıdır.”
PASİF İÇİCİLERİN AKCİĞER KANSERİNE YAKALANMA RİSKİ 4 KAT ARTIYOR
“Akciğer kanserinin nedenleri arasında en başta sigara olmak üzere tütün ürünlerinin aktif ya da pasif kullanımı geliyor” diyen Kılınç, akciğer kanserinin nedenlerini anlattı:
“Sigara ve tütün mamulü kullananların akciğer kanseri olma riski, aynı yaş ve özelliklere sahip tütün mamulü kullanmayanlara göre 30 kat daha fazladır.
Yapılan çalışmalar, hastaların yüzde 90'ının tütün ürünlerini aktif ya da pasif olarak kullandıkları için akciğer kanserine yakalandıklarını gösteriyor. Pasif içicilik, aktif sigara kullanımı kadar kişilerin akciğerlerine zarar verebiliyor. Pasif içicilerin akciğer kanserine yakalanma riskinin, hiç maruz kalmayanlara göre 4 kat daha fazla olduğu biliniyor.
Bunun yanı sıra, kömür dumanı ve endüstri kaynaklı hava kirliliği, kimyasallarla kirlenmiş kullanma suları ve gıdalar da akciğer kanseri oluşmasına neden oluyor. Ayrıca, gereğinden fazla yapılan radyolojik tetkiklerle alınan tıbbi radyasyon da hastalığın oluşmasını kolaylaştırıyor."
SİGARADAN KURTULDUKTAN 20 DAKİKA SONRA KANSER RİSKİ AZALMAYA BAŞLIYOR
“Akciğer kanserlerinin yüzde 5'i erken evrede yakalanırsa tama yakın tedavi edilebilir. Geri kalanlarda ise yapılan tedavilerle hastalıksız dönemin uzatılması hedeflenir.
Tanı konduktan sonra hastalığın evresine göre cerrahi, kemoterapi ve radyoterapi yöntemleri uygulanır” diyen Kılınç, riski azaltmanın en etkili yolunun sigaradan kurtulmak olduğunu vurguladı:
“Akciğer kanserine yakalanmamak için yapılabilecek en önemli iş, sigaradan ve tütün ürünü kullanımından kurtulmaktır. Başka hiçbir yöntem sigaranın kanser riskini azaltmamaktadır. Sigaradan kurtulduktan 20 dakika sonra kanser riski de süratle azalmaya başlar. Hiç sigara içmeyen bir bireyle benzer risk durumuna gelebilmek için ise 15 yıl sigara kullanmamak gerekir.
Dolayısıyla sigaradan ne kadar erken kurtulursak o hızla akciğer kanseri riskini azaltabiliriz. Sigara içme hastalığı tedavi edilebilir bir hastalıktır.
Sağlık Bakanlığı'nın akredite ettiği sigaradan kurtulma polikliniklerine başvurarak yardım alabilirsiniz. Eğer pasif içici olarak dumana maruz kalıyorsanız temiz hava soluma hakkınıza sahip çıkmalısınız.”