Habertürk
    Takipde Kalın!
      Günlük gelişmeleri takip edebilmek için habertürk uygulamasını indirin
        Haberler Dünya Diğer Taylandda bir kadın, midesinde 1,2 kilogram uyuşturucuyla havalimanında yakalandı | Dış Haberler

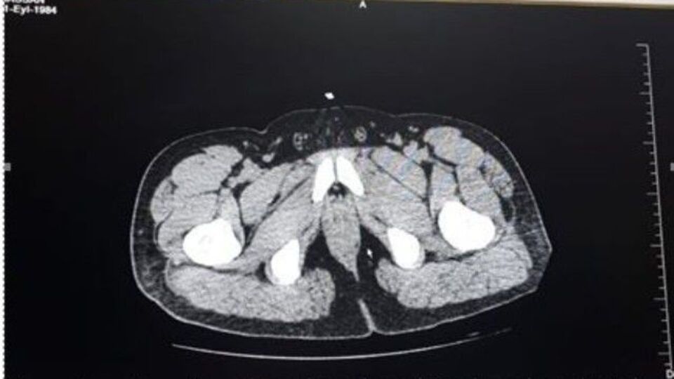
        Tayland basınındaki haberlere göre, gümrük memurları x-ray cihazından geçen Suamu Nkele'nin midesinde bazı maddeler göründüğünü tespit etti.

        İncelemeler sonrası midesinde 1,2 kilogram uyuşturucu madde bulunan kadının çorap ve iç çamaşırlarına da uyuşturucu yerleştirdiği ortaya çıktı.

        Angola'nın başkenti Luanda'dan Bangkok'a seyahat eden kadın, emniyet güçlerince gözaltına alındı.

        Öte yandan yetkililer, 3 ay önce benzer bir olayın yaşandığını ve yakalanan kişinin yine Kenya asıllı olduğunu belirtti.

        geçen Suamu Nkele'nin midesinde bazı maddeler göründüğünü tespit etti.

        İncelemeler sonrası midesinde 1,2 kilogram uyuşturucu madde bulunan kadının çorap ve iç çamaşırlarına da uyuşturucu yerleştirdiği ortaya çıktı.

        Angola'nın başkenti Luanda'dan Bangkok'a seyahat eden kadın, emniyet güçlerince gözaltına alındı. Öte yandan yetkililer, 3 ay önce benzer bir olayın yaşandığını ve yakalanan kişinin yine Kenya asıllı olduğunu belirtti.

        GÜNÜN ÖNEMLİ MANŞETLERİ