Habertürk
    Takipde Kalın!
      Günlük gelişmeleri takip edebilmek için habertürk uygulamasını indirin
        Haberler Sağlık Kanser Akciğer kanserinin belirtileri nelerdir? | Sağlık Haberleri
        1

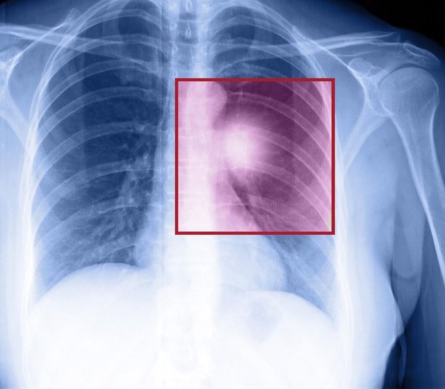
        Akciğer kanserinin belirtileri nelerdir?

        Sigara içen birçok bireyde görülebilen bazı belirtiler akciğer kanserinin işaretçisi olabilir; mesela öksürük ve nefes darlığı gibi.

        2

        Bu nedenle bazı ülkelerde (mesela ABD) sigara içen 55 yaş üstü hastalara yıllık akciğer tomografisi çekilerek kanseri erken dönemde farkedilip daha etkili olarak tedavi edilebiliyor.

        3

        Türkiye'de her yıl yaklaşık 44.000 kişi akciğer kanserine yakalanıyor. Maalesef hastaların çoğunda hastalık ilerledikten sonra farkediliyor ve her yıl 24.000 vatandaşımız bu nedenle hayatını kaybediyor. ABD, Nashua'daki St. Joseph Hastanesi Kanser Merkezi'nden Medikal Onkolog Dr. Umit Tapan, akciğer kanserinin belirtileri ve kansere yol açan nedenler hakkında bilgi verdi.

        4

        Ayrıca kilo kaybı, göğüs ağrısı, balgamda kan varlığı gibi belirtileri olanların muhakkak doktora başvurması gerekir. Bazı hastalarda kemik ağrısı görülür ve bu maalesef ileri evre akciğer kanserinin habercisi olabilir.

        5

        Akciğer kanserinin nedenleri!

        Akciğer kanserlerinin yüzde 90’ının sebebi sigaradır. Riski artıran diğer nedenler arasında göğüs bölgesine radyasyon (ışın) tedavisi alınmış olması, çevresel zehirli maddeler (sigara dumanı, asbestoz, radon, arsenik) ve alkol kullanımı sayılabilir.

        6

        Erken tanı neden önemli?

        İleri evre akciğer kanseri hastaları maalesef ortalama 10-12 ay içinde hayatını kaybediyor.

        7

        Akciğer kanserinin tedavisi mümkün müdür?

        1. Cerrahi: Eğer erken evrede yakalanıp ameliyatla akciğerdeki kanserli dokunun alınabildiği hastalar en şanslı hasta grubudur çünkü bu hastaların büyük bir kısmı 5 yıldan fazla yaşayabilir.

        8

        2. Radyasyon (ışın) tedavisi: Ameliyat öncesinde kanserli dokuyu küçültüp ameliyata uygun hale getirmek için kemoterapi (ilaç tedavisi) ile birlikte ışın tedavisi kullanılır.

        9

        3. Kemoterapi (ilaç tedavisi): Işın tedavisine benzer kullanım alanları mevcuttur. Ayrıca ileri evre kanser hastalarında ilk seçenek tedaviler arasındadır.

        10

        4. Hedefe yönelik tedaviler: Az miktarda sigara içmiş olan bazı hastalarda kemoterapi yerine kanser hücresindeki bir proteini hedef alan tablet şeklinde ilaçlar kullanılabiliyor ve bu hastaların çoğunda mucize denebilecek başarılar sağlanabiliyor.

        11

        Ayrıca son birkaç yıl içinde hastanın kendi bağışıklık sistemini kansere karşı aktifleştiren tedaviler de akciğer kanseri hastaları için ümit vadediyor.

        12

        Öneriler:

        Ciddi bir halk sağlığı sorunu olan akciğer kanserinin sıklığı Sağlık Bakanlığımızın sigarayla mücadelede attığı adımlar sayesinde azalacaktır. Ancak unutulmamalıdır ki sigarayı bırakan kişilerde kanser riski 10-15 yıl süreden sonra normal seviyelere inmektedir.