Habertürk
    Takipde Kalın!
      Günlük gelişmeleri takip edebilmek için habertürk uygulamasını indirin
        Haberler Sağlık Çin'deki gizemli zatürre vakaları artıyor | Sağlık Haberleri

        Çin'de son günlerde çocuklar arasında hızla yayılan ve bazı Avrupa ülkelerinde de görülen gizemli zatürre, 'yeni bir virüs mü var?' sorularını akıllara getirdi.

        AA'ya göre, Uluslararası Bulaşıcı Hastalıklar Derneğinin (ISID) hastalık bilgi ağı ProMed'de 21 Kasım'da paylaşılan bilgi notunda, Çin'de başkent Pekin ve ülkenin kuzeyindeki Liaoning eyaletinde çocuk hastanelerinde "teşhis edilemeyen" zatürre benzeri vakalar nedeniyle "aşırı yoğunluk" olduğu belirtilmişti.

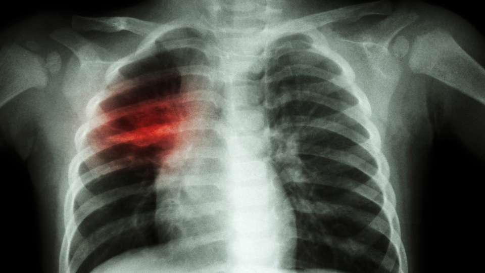
        Dr. Stephan Gibson ise, ProMed ağında paylaştığı mesajda, bakteri kaynaklı bir solunum yolu enfeksiyonu olan "mikoplazma zatürresinin" öksürüğün hastalığın temel belirtisi olduğu fakat çocuklarda öksürük yerine üst solunum yolu semptomlarının, mide bulantısı ve kusmanın görülebileceği değerlendirmesinde bulunmuştu. Öte yandan Gibson, mikoplazma zatürresinde solunum yollarında "yanma tarzı infiltrasyonların" görüleceği, bu vakalarda akciğer röntgenlerinde görülen iltihaplanma bulgusunun anomali oluşturduğuna dikkati çekmişti.

        REKLAM

        Dünya Sağlık Örgütü (DSÖ), bugün yaptığı açıklamada, çocuklarda tanı konulamayan zatürre vakalarıyla ilgili Çin'den resmi bilgi talep ettiğini bildirmişti.

        ÇİN'DE YÜKSEK ATEŞ VE ZATÜRRE ŞİKAYETLERİ ARTIYOR

        Çocuk Sağlığı ve Hastalıkları Uzmanı Dr. Şirin Seçkin, "Çin'de günde 3,500 çocuk yüksek ateş ve zatürre nedeniyle hastaneye yatırılıyor. Çin'deki çocuklar zatürre nedeniyle hastaneye yatıyor. İstatistikler vakaların bu aylarda geçen yıla oranla üç kat arttığını gösteriyor. Çin’de beyaz akciğer zatürresi diye geçiyor. Bu vakalarda hastaların röntgenlerinde tüm akciğer beyaz gözüküyor" dedi.

        "ÜÇLÜ-DÖRTLÜ VİRÜSÜ AYNI ANDA GEÇİREN ÇOCUKLAR ÇOK YAYGIN"

        Seçkin, "Bu artış, normale dönüş sonrası oluşan bağışıklık sisteminin boşluğu. Çin’de yine B.A.2.86 varyantı çok yaygın ve zatürre nedeniyle hastaneye çok yatan çocuk var ama Covid sonrası genellikle zatürrelerde artış var ama hepsi Covid nedeniyle değil büyük bir kısmı Mikoplazma bir kısmı RSV, Rhino veya influenza ya da diğer virüsler sonrası oluşan zatürreler. Tüm dünyada üçlü-dörtlü virüsü aynı anda geçiren çocuklar çok yaygın" dedi.

        ÖNERİLEN VİDEO

        Gebze'de yıkılan binanın enkazını kaldırma çalışmaları sürüyor

        GÜNÜN ÖNEMLİ MANŞETLERİ