Habertürk
    Takipde Kalın!
      Günlük gelişmeleri takip edebilmek için habertürk uygulamasını indirin
        Haberler Sağlık Araştırma: Şizofreni hastalarının beyinleri daha hızlı yaşlanabilir | Sağlık Haberleri
        Sesli Dinle
        0:00 / 0:00

        Avustralya’da yapılan yeni bir araştırma, şizofreni hastalarının beyinleri daha hızlı yaşlanabileceğini ve bunun basit bir kan testiyle ölçülebileceğini ortaya koydu. Araştırmaya katılan uzmanlar, çalışmanın alanında tek olduğunu belirterek, şizofreni hastalarında sinir hücrelerinden (nöron) doğrudan elde edilen kandaki proteinleri ölçtüklerini bildirdi.

        Bugüne kadar şizofreninin, otizm, disleksi ve dikkat eksikliği hiperaktivite bozukluğu (DEHB) gibi nörogelişimsel hastalıklarla benzer şekilde, beyin gelişimindeki sorunlardan kaynaklandığı düşünülüyordu. Ancak Melbourne Üniversitesi’nden araştırmacılar, şizofrenide hızlanan beyin yaşlanmasının da bu hastalığın gelişiminde önemli bir rol oynayabileceğini öne sürüyor. Bu çalışmada uzmanlar, sinir hücrelerinden (nöronlardan) salınan 'Nörofilament Hafif Zincir Proteini (NfL)' adlı bir proteine odaklandı. Normalde nöronlar hasar gördüğünde veya yaşlandıkça bu protein kana ve beyin omurilik sıvısına salınır. Alzheimer, Parkinson ve MS gibi hastalıklarda da bu proteinin düzeyleri artar.

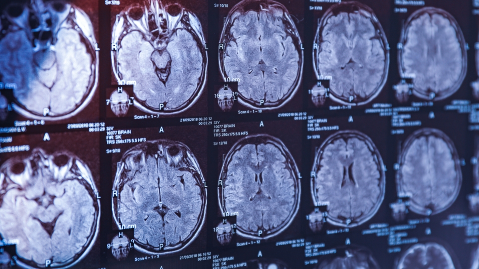
        Araştırma sonucunda, şizofreni hastalarında NfL düzeylerinin sağlıklı bireylere göre daha erken yaşlarda ve daha hızlı arttığı gözlemlendi. Bu durum, şizofreni hastalarının beyinlerinin biyolojik olarak kronolojik yaşlarına göre daha yaşlı olduğunu ortaya koyuyor. Aynı araştırmada bipolar bozukluk yaşayan bireylerde ise benzer bir artış gözlenmedi. Bu da şizofreniyi diğer psikiyatrik bozukluklardan ayıran biyolojik bir farklılık olabileceğini gösteriyor. MRI taramaları da şizofreni hastalarında beynin yapısal olarak daha hızlı yaşlandığını destekliyor.

        YAŞAM TARZI FAKTÖRLERİ

        Melbourne Üniversitesi'nden Psikiyatrist Christos Pantelis, şizofreni hastalarının yaşam tarzının da bu yaşlanmayı hızlandırdığını ifade etti. Pantelis, "Sosyal izolasyon, fiziksel aktivite eksikliği, sigara ve madde kullanımı gibi faktörler hem zihinsel hem de fiziksel sağlığı olumsuz etkiliyor. Şizofreni hastalarının yaşam süresi genel nüfusa göre 20-30 yıl daha kısa. Bunun başlıca nedenleri ise kanser ve kalp hastalıkları gibi yaşa bağlı hastalıkların daha erken yaşta ortaya çıkması. Yaşam tarzı, şizofreni hastalarında vücudun hızla yaşlanmasında bir faktör olsa da çalışmamız bu hastalığı anlamada ve zamanla tedavi etmede önemli bir adım olabilir” dedi.

        ÖNERİLEN VİDEO

        ABD'de kargo uçağı düştü: 7 ölü, 11 yaralı

        GÜNÜN ÖNEMLİ MANŞETLERİ