Habertürk
    Takipde Kalın!
      Günlük gelişmeleri takip edebilmek için habertürk uygulamasını indirin
        Haberler Sağlık Arjantin'de gizemli zatürre görüldü, 3 kişi hayatını kaybetti | Sağlık Haberleri
        Sesli Dinle
        0:00 / 0:00

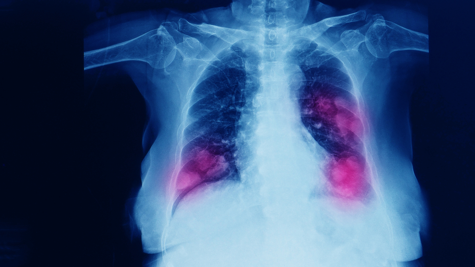
        Arjantin'de dokuz kişide gizemli zatürre (pnömoni) tespit edilmesinin ardından, üç kişi hayatını kaybetti. Tucumán eyaletindeki Sağlığı Bakanlığından yapılan açıklamada, Arjantin'de iki taraflı zatürree (her iki akciğeri de etkileyen zatürree) ile hastaneye kaldırıldıktan sonra üç kişinin öldüğünü ve doktorların hastalığa neyin neden olduğunu bulmaya çalıştığını duyurdu.

        İŞTE HASTALIK BELİRTİLERİ...

        Gizemli zatürreye yakalanan hastalarda ateş, karın ağrısı, nefes darlığı ve kas ağrıları şikayetlerin olduğu belirtildi.

        San Miguel de Tucumán'daki bir özel hastanenin yoğun bakım ünitesine bağlı, bir hasta ve sekiz sağlık çalışanı da dahil olmak üzere toplam dokuz kişi zatürreden etkilendi. Hastalık ortaya çıkınca klinik yedi gün süreyle kapatıldı.

        Doktorlar, yapılan testlerin koronavirüs, grip, hantavirüs ve yaklaşık 30 diğer olası nedeni dışladığını bildirdi.

        REKLAM

        İldeki sağlık görevlileri, test edebilecekleri tüm virüs ve bakteriler için kan, balgam ve idrar örneklerinde test yapmaya devam ediyor.

        "HEPİMİZ TEYAKKUZDAYIZ"

        Tucumán eyaleti Sağlık Bakanı Luis Medina Ruiz, "Bu durum öngörülemez. Bu konuda hepimiz teyakkuzdayız, bu nedenle resmi yollarla kendimizi bilgilendirmemiz şart. Bu özelliklere sahip hastaların gerekli tanılarının hemen yapılması için kamu ve özel yoğun bakım birimleriyle iletişim kuruyoruz" dedi.

        Dünya Sağlık Örgütü, Arjantin sağlık yetkilileriyle birlikte durumu izlediğini duyurdu.

        ÖNERİLEN VİDEO

        Airport - 2 Kasım 2025 (Yapay Zekâ Seyahat Alışkanlıklarını Nasıl Değiştirdi?)

        GÜNÜN ÖNEMLİ MANŞETLERİ