Habertürk
    Takipde Kalın!
      Günlük gelişmeleri takip edebilmek için habertürk uygulamasını indirin

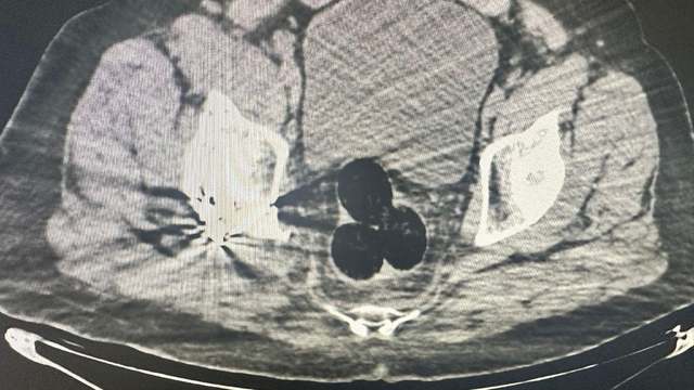
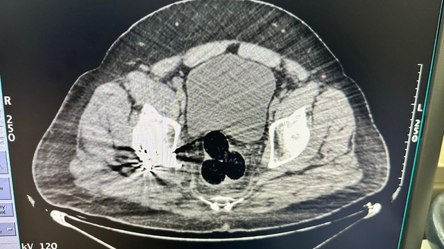
        IĞDIR'da, İran'dan yurda giren kişinin hastanede yapılan radyolojik görüntülemede İran uyruklu şüphelinin makatında uyuşturucu tespit edildi. Şüpheli ile onunla bağlantılı olduğu tespit edilen 2 kişi tutuklandı.

        Iğdır Emniyet Müdürlüğü Narkotik Suçlarla Mücadele Şube Müdürlüğü ekipleri tarafından, İran'dan ülkeye giren bir kişi, şüphe üzerine hastaneye götürüldü. Burada yapılan radyolojik görüntülemede şüphelinin makatında 3 parça halinde yabancı cisim tespit edildi. Hastanedeki operasyonla çıkarılan 3 pakette 130 gram metamfetamin ele geçirildi. Şüpheli gözaltına alınırken, soruşturma kapsamında polis, bu kişiyle bağlantılı olduğu ve aldıkları uyuşturucuyu kentte kullanıcılara sattığı tespit edilen 2 şüpheliyi daha yakaladı. 47 gram daha metamfetamin ele geçirildi.

        Şüpheliler, emniyetteki işlemlerinin ardından sevk edildikleri adliyede çıkarıldıkları mahkemede tutuklandı.

        Anadolu Ajansı, DHA ve İHA tarafından geçilen tüm Iğdır haberleri, bu bölümde Haberturk.com editörlerinin hiçbir editoryal müdahalesi olmadan otomatik olarak ajans kanallarından geldiği şekliyle yer almaktadır. Iğdır Haberleri alanında yer alan haberlerin hepsinin hukuki muhatabı haberi geçen ajanslardır.

        Günün Önemli Manşetleri

        Benzer Haberler