Kayseri'de, İranlı 3 şüphelinin midesinden uyuşturucu çıktı
KAYSERİ'de, jandarmanın uyuşturucu operasyonunda yakalanan İran uyruklu 3 şüphelinin midelerinden kapsül halinde uyuşturucu çıktı.
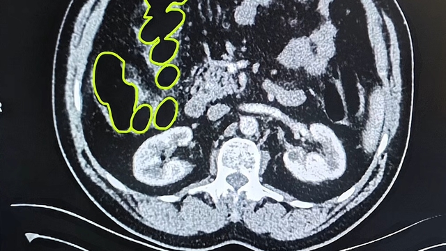
KAYSERİ’de, jandarmanın uyuşturucu operasyonunda yakalanan İran uyruklu 3 şüphelinin midelerinden kapsül halinde uyuşturucu çıktı. Uyuşturucular hastanede çıkarılırken, 3 şüpheli tedavilerinin ardından gözaltına alındı.
İl Jandarma Komutanlığı ekipleri, İran uyruklu A.O. (51), M.S. (37) ve P.S..'nin (28) ülkelerinden kente uyuşturucu getireceği bilgisine ulaştı. Şüpheliler Kocasinan ilçesi Himmetdede Mahallesi'nde taksi ile kente girmek istediği sırada durduruldu. Araçta yapılan aramada 15 gram esrar, 5 gram bonzai ve 117 adet uyuşturucu hap ele geçirildi. Gözaltına alınan 3 şüpheli muayene olmak üzere Kayseri Şehir Hastanesi'ne getirildi. Röntgen ve ultrason sonrası kontrollerde 3 şüphelinin midesinde uyuşturucu madde olduğu belirlendi. Şüphelilerin yuttukları uyuşturucuları kente sokmaya çalıştıkları tespit edildi. Kapsüller, sağlık ekibinin müdahalesiyle çıkarıldı. Taburcu edilen şüpheliler, İlçe Jandarma Komutanlığı'na götürüldü.
Anadolu Ajansı, DHA ve İHA tarafından geçilen tüm Kayseri haberleri, bu bölümde Haberturk.com editörlerinin hiçbir editoryal müdahalesi olmadan otomatik olarak ajans kanallarından geldiği şekliyle yer almaktadır. Kayseri Haberleri alanında yer alan haberlerin hepsinin hukuki muhatabı haberi geçen ajanslardır.