Habertürk
    Takipde Kalın!
      Günlük gelişmeleri takip edebilmek için habertürk uygulamasını indirin
        Haberler Sağlık 8 aylık hamileyken fıtığı patladı doktorlar yan yatırarak ameliyat etti | Sağlık Haberleri

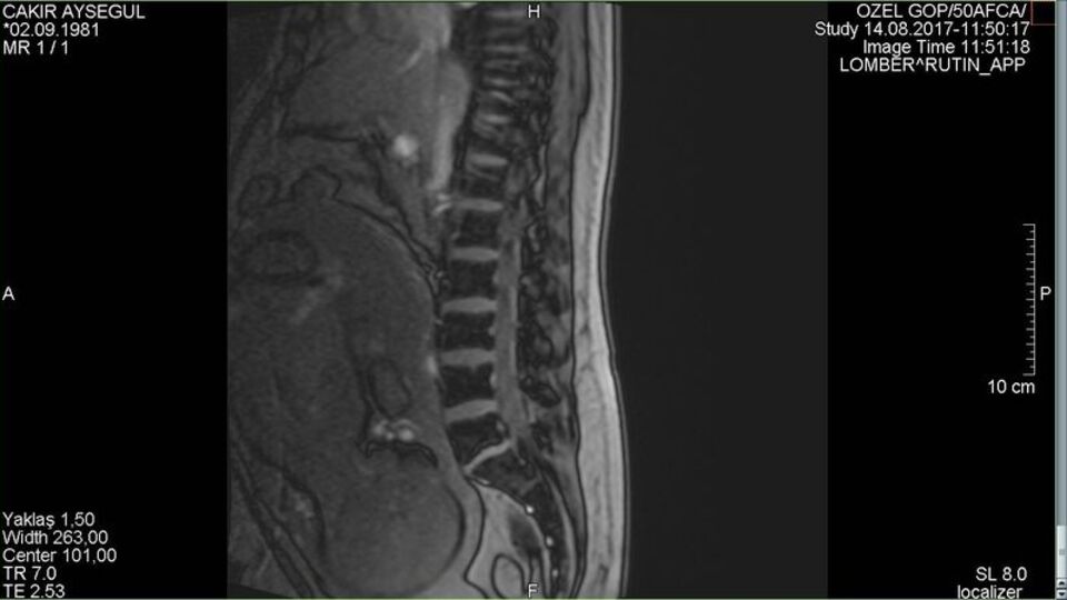
        Kocaeli'nde yaşayan 36 yaşındaki Ayşegül Çakır 8 aylık hamileyken bel fıtığı patladı. Dayanılmaz ağrılar nedeniyle uyuyamadığını söyleyen 1 çocuk annesi genç kadın tedavi olmak için hastaneye başvurdu. DHA'nın haberine göre; fıtığının çok ilerlemesi nedeniyle ameliyat olması gerektiği söylenen Çakır, 10 binde 1 gibi az bir oranda yapılan ameliyatla fıtığından kurtuldu. Normal şartlarda yüzü koyun yatırılarak ameliyat edilmesi gereken genç kadın hamilelik nedeniyle yan yatırılarak ve genel anestezi altında ameliyat edildi. Ameliyatın ardından ilk defa rahat uyuduğunu belirten Çakır'ın hamileliği devam ederken kendisinin ve bebeğinin sağlığının iyi olduğu tespit edildi. Doç. Dr. Mete Karatay ve Yrd. Doç. Dr. İdris Sertbaş tarafından gerçekleştirilen operasyon 1 saat içinde tamamlanarak anne ve bebeğin gereksiz yere anestezi almaması sağlanmış oldu.

        "AMELİYATTAN SONRA İLK DEFA GÜZEL BİR UYKU UYUDUM" DEDİ

        Bel fıtığı patlamış şekilde başvuran hastanın operasyonunu gerçekleştiren Doç. Dr. Karatay hastanın durumu ile ilgili şunları söyledi: "Hastamız 36 yaşında, 8 aylık hamile bir kadın. Bel ağrısı şikayetleri var. Gebelik öncesinde de bel fıtığı başlangıç tanısı koyulmuş. Gebelerde yüzde 50 oranında zaten bel ağrısı görüyoruz. Şiddetli bel ağrısı daha sonra ilerleyici semptomatik dediğimiz bel fıtığı noktasına gitmesi genellikle nadir görülür ama bu hastamızda sonucu güzel oldu. Ameliyatlık bir bel fıtığı olduğu için bize başvurdu. Hikayesinde istirahat ettiği, ilaç tedavisi gördüğü ama şikayetlerinin düzelmediğini anladık. Yaptırdığımız MR tetkikinde halk arasında patlamış dediğimiz ilerleyici bir bel fıtığı saptamamız üzerine kadın doğum ve anestezi hekim arkadaşlarımızla görüşerek hastamızın ameliyatını gerçekleştirdik. Ameliyatımız gayet başarılı geçti. Genel anestezi ile yapıldı. Özel bir cerrahi pozisyonda yapıldı. Anestezi açısından bebeğe hiç zarar verilmeyecek şekilde hızlı bir cerrahi ile ameliyatımız sonlandırıldı. Ameliyat sonrasında hastamız ilk defa güzel bir uyku uyuduğunu ifade ederek bir gece yattıktan sonra taburcu oldu."

        REKLAM

        8 AYLIK HAMİLE OLDUĞU İÇİN HASTA YAN YATIRILDI

        Normal şartlarda bel fıtığı ameliyatlarının hastanun yüzüstü yatırılarak yapıldığını belirten Doç. Dr. Mete Karatay, 8 aylık hamile olması nedeniyle hastayı yan yatırarak, özel bir pozisyonda ameliyat ettiklerini belirtti ve şunları söyledi: "Normalde bel fıtığı ameliyatlarında yüzü koyun yatarlar. Spinal anestezi veya genel anestezi ile belden uyuşturularak ameliyat edilirler. Ama özellikle gebeliğinin ileri safhasında olan hastalarda özel bir pozisyon gerekiyor. Çünkü gebe hastaları yüzüstü yatıramıyoruz. Hem bebeğin hem de hastanın kendi dolaşımını zorlayacağından dolayı yan yatırarak ve karnının bacaklarına çekmesi ile oluşan özel pozisyonla bu ameliyatı gerçekleştiriyoruz. Ameliyat standart bir mikro cerrahi ameliyat. Ama pozisyon sık ameliyat yapılmayan bir pozisyon."

        "İLK KEZ BİR HAMİLEYE BEL FITIĞI AMELİYATI GERÇEKLEŞTİRDİM"

        Uzmanlar ameliyatı 1 saat içinde tamamlayarak anne ve bebeğin gereksiz yere anestezi almamasını sağladı. Bebeğin ameliyat sonrasında sağlıklı olduğunun tespit edildiğini belirten Doç. Dr. Karatay sözlerine şunları ekledi: "Gebelerde, radyasyona maruz kalma, ağrı kesici içme, antibiyotik içme bunlardan uzak durmalarını öneriyoruz ama hastamız son çare olarak ameliyat olması gereken bir durumdaydı. Anestezi bebeğe en az etki edecek şekilde ayarlandı. Cerrahi süremiz anestezi verilmesiyle ameliyatın bitmesi 1 saat 5 dakika, bu çok iyi bir süre. Onun dışında ameliyat öncesinde ve bittiğinde bebeğin rutin kontrolleri yapıldı. Dolayısıyla her şeyi standardize ederek bu ameliyatı gerçekleştirdik. Şu anda hastamız da bebek de gayet iyi."

        Yüzlerce bel fıtığı ameliyatı yaptığını belirten Doç. Dr. Karatay ilk kez gebe bir hastaya bel fıtığı ameliyatı yaptığını belirtti ve bu ameliyatın hamilelere 10 binde bir oranında yani nadir sayılabilecek bir oranda yapıldığını açıkladı.

        REKLAM

        "7 YILDIR BEL FITIĞI ÇEKİYORUM"

        İlk çocuğunun doğumunun ardından bel fıtığı olduğunu belirten 8 aylık hamile Ayşegül Çakır ise 7 yıldır bel fıtığı rahatsızlığı çektiğini belirtti ve "Bel fıtığım oğlumun doğumundan sonra nüksetti. 20 gün öncesinde dayanılmaz bir boyuta geldi. Çeşitli arayışlara giriştik, burada yapılamayacağı söylendi. 8 aylık hamileyim. Gittiğimiz doktorlar bana herhangi bir müdahale yapamayacaklarını söylediler. Bebeğime ve bana hiçbir zarar gelmediği için çok mutluyuz" dedi.

        GÜNÜN ÖNEMLİ MANŞETLERİ