Habertürk
    Takipde Kalın!
      Günlük gelişmeleri takip edebilmek için habertürk uygulamasını indirin
        Haberler Sağlık Çocukların midesinden çıkan cisimler şaşırttı | Sağlık Haberleri
        1

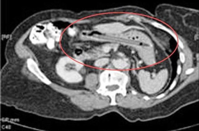
        İzmir'deki Tepecik Eğitim ve Araştırma Hastanesi Çocuk Gastroenteroloji Bölümü'nün, yabancı cisim yutan çocukların nefes ve borusu ile midelerinden çıkarttığı, anahtarlık, madeni para, saat pili, ataç, çengelli iğne ve çivi gibi objeler görenleri şaşkına çevirdi.

        2

        Bu objelerden en tehlikelisinin piller olduğuna dikkat çeken Doç. Dr. Maşallah Baran, "Piller kimyasal mekanizmayla mukozayı yakıyor, özellikle yemek borusu çok duyarlı pillere, hele ki yeni takılmış bir pilse saatler içinde şahit olduğum bir kaç vaka var, yemek borusunu kömür haline getirebiliyor" dedi.

        3

        Tepecik Eğitim ve Araştırma Hastanesi Çocuk Gastroenteroloji Bölümü'nde görevli Doç.Dr. Maşallah Baran, Dr. Miray Karakoyun, Dr. Yeliz Appak, hemşire Sevda Yalçınkaya ve hemşire Makbule Savurgan, çocukların yuttuğu yabancı cisimleri operasyonla çıkartıyor.

        4

        Çocukların nefes ve borusu ile midelerinden çıkartılan, anahtarlık, madeni para, saat pili, ataç, çengelli iğne ve çivi gibi objeler görenleri şaşkına çevirdi. Anne ve babaların çok dikkatli olması gerektiğini söyleyen Doç. Dr. Maşallah Baran, şöyle dedi:

        5

        "Çocuklar 6 aydan sonra oral dönem dediğimiz ağızlarıyla dilleriyle ve tatla tanımaya başlarlar. Bu dönem 6 aydan itibaren başlar ve 2 yaşına kadar gider, bu süreç bazı çocuklarda uzayabilir.

        6

        Bu uzamayı tetikleyen kansızlık gibi bazı etkenler var. Bu tanıma dönemi, bizim yabancı cisim yutmayla en çok karşılaştığımız dönem. Dünyayı tanımak adına çocukların eline verdiğimiz oyuncakların pilleri, ağza götürülüp kolaylıkla yutulabilir.

        7

        Bazı durumlar ciddi şekilde hayatı tehdit edebilir hale gelebiliyor. Bunları tanımak için bizim en sık kullandığımız yöntem öykü. Aile bu yutma olayını gördüyse, farkına vardıysa veya şüphelendiyse bunu dinliyoruz.

        8

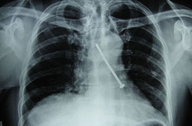
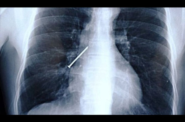
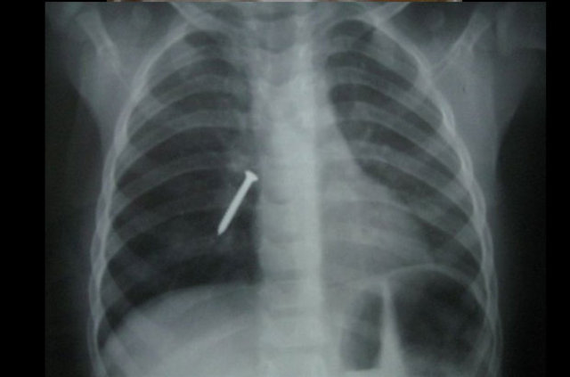
        Genellikle yabancı cisimler 'X' ışınıyla görülebilir. Direk grafi ile metal ve 'X' ışınına duyarlı cisimleri rahatlıkla görebiliyoruz. Ama plastikleri göremiyoruz. Bu durumda oyuncağın bir parçasıyla yutulan parçayı anlamaya çalışıyoruz."

        9

        "EN ÇOK TEDİRGİN EDEN OBJE PİL"

        Yabancı cisim yutan çocuklarda karşılaştıkları ve kendilerini en çok tedirgin eden objenin pil olduğunu kaydeden Doç. Dr. Baran, kendilerini en çok tedirgin eden ve son dönemde sık gördükleri oyuncaklarda da kullanılan saat pilleri olduğunu söyledi. Doç.Dr. Bakan şöyle dedi:

        10

        "Bu piller, özellikle yemek borusunda kaldığında saatler içinde ciddi yanıklara sebebiyet verebiliyor, mideye indiğinde etkileri o kadar olmasa da bu tür reaksiyonlar görülebiliyor. Pilli oyuncakları kullanırken çok dikkatli olmak gerekiyor.

        11

        Çocuğu yalnız bırakmamak gerekiyor. Çok güçlü mıknatıslar var, bunları sayıca fazla ya da metal cisimle yuttuklarında bunlar da birbiriyle yapışıp ciddi hasarlara yol açabiliyor.

        12

        Bu yaş grubu çocuğunuz varsa kendinden biraz daha büyük, olgunluğa erişmemiş çocuklarla ya da kardeşleriyle yalnız bırakmamanız gerekiyor. Bazen büyük çocuklar, çocuğun eline yabancı cisim verebiliyor. Kıyafetlere taktığımız nazar boncuğu ve çengelli iğneleri çocuklar 6 aydan sonra alıp yutabiliyorlar.

        13

        Aldığımız oyuncakların mümkünse saat veya kalem piliyle çalışan ya da kolay çıkabilen cisimleri içermemesi gerekiyor. Eğer bunları alıyorsak ve çocuk oynuyorsa gözümüzün önünde oynamalı.

        14

        Piller kimyasal mekanizmayla mukozayı yakıyor, özellikle yemek borusu çok duyarlı pillere, hele ki yeni takılmış bir pilse saatler içinde şahit olduğum bir kaç vaka var, yemek borusunu kömür haline getirebiliyor. Söz konusu cisimlerin yutulması durumunda en yakın sağlık kuruluşuna başvurulması gerekiyor."

        15

        "ÖNCE TAKİP SONRA MÜDAHALE"
        Hastaneye yabancı cisim yutma şikayetiyle getirilen çocuğun ilk etapta takip edildiğini, yaşına ve yuttuğu objenin özelliğine göre de müdahaleye karar verildiğini belirten Dr. Miray Karakoyun, yabancı cisim yutma şikayetiyle başvuran hastalarda, yabancı cismin ne olduğu, çocuğun kaç yaşında olduğu ve yutulan maddenin çekilen filmi sonucu sistemin neresinde olduğunun kendileri için önemli olduğunu kaydederek şöyle dedi:

        16

        "Madeni paralar çok sık yutulan cisimler arasında, 4-6 haftaya kadar midede ya da bağırsaktaysa bekleyebiliyoruz ancak yemek borusunda olan vakalarda yutulan yabancı cisim ne olursa olsun endoskopi işlemi yapıyoruz. İkili mıknatıs yutmalarına hemen müdahale ediyoruz. Yoksa ciddi zararlara yol açabiliyor.

        17

        Bir diğer sık karşılaştığımız durum ise pil yutmaları, bunlar yakıcı olduğu için bekleme süresinde 48 saati geçirmemeye özen gösteriyoruz. Pilin vücutta bulunduğu yer de müdahale etme koşullarını değiştirebiliyor.

        18

        Son olarak 9 aylık bir bebek pil yutma şikayetiyle getirildi. Pilin midede olmasına rağmen, yeni olması ve bebeğin yaşının küçük olması nedeniyle 3 saat içinde müdahalemizi yaptık endoskopiyle pili çıkarttık. Buna rağmen midede yanıklar vardı, bir süre hastamızı takip ettikten sonra taburcu ettik." (DHA)

        19

        Cumhuriyet Üniversitesi (CÜ) Tıp Fakültesi Araştırma ve Uygulama Hastanesi Göğüs Cerrahisi Anabilim Dalı Servisi'nde insanların yanlışlıkla yuttuğu cisimlerden oluşturulan koleksiyon, görenleri hayrete düşürüyor.

        20

        Operasyonla mideden ya da nefes borusundan çıkan parçalar zaman zaman hekimleri bile şaşırtıyor.

        21

        Aralarında iğne, metal kolye, vida, protez diş, dikiş iğnesi, kemik parçası, pisi pisi otu, çivi ve akasya dikeni de bulunan cisimleri koleksiyon yapan hekimler, vatandaşların ağızlarına aldıkları şeylere dikkat etmeleri gerektiğini dile getiriyor.

        22

        Prof. Dr. Ekber Şahin, AA muhabirine yaptığı açıklamada, Sivas'ta son yıllarda yetişkinler ve çocukların yuttuğu yaklaşık 700 civarında yabancı cismi insanların mideleri ve nefes borularından başarıyla çıkardıklarını söyledi.

        23

        Operasyonlarda yabancı cisimlerle karşılaştıklarını ve şaşırdıklarını anlatan Şahin, "Çıkardığımız bu cisimlerin bir kısmıyla koleksiyon oluşturduk. Yıllardır çıkardıklarımız biriktirdiklerimizin 20-30 katı kadar" dedi.

        24

        Çıkardıkları cisimler arasında iğneler, metal kolyeler, vidalar, protez dişler, dikiş iğneleri, kemik parçaları, pisi pisi otları, çiviler ve akasya dikeni bulunduğunu kaydeden Şahin, "Bir insan akasya dikenini nasıl yutabilir diye çok şaşırıyoruz.

        25

        Bunları insanların soluk borusundan çıkartıyoruz. Bunlar bizim çıkardıklarımız. Daha değişik yabancı cisimler yutup hastaneye ulaşamayan hastalarımız da var.

        26

        Bize gelenler şanslı olanlar, daha kötü neticelere yol açmadan, müdahalemiz sonunda hayatta kalabilenler" diye konuştu.

        27

        Yutulan cisimler arasında en çok iğne bulunduğunu dile getiren Şahin, fındık ve fıstık gibi çerezlerin de nefes borusuna kaçmasına sıklıkla rastladıklarını ifade etti. (AA)