Habertürk
    Takipde Kalın!
      Günlük gelişmeleri takip edebilmek için habertürk uygulamasını indirin
        Haberler Sağlık Tanı koymada 'yapay zeka' dönemi | Sağlık Haberleri

        Yapay zeka artık hayatın birçok alanında kullanılıyor. Tıpta özellikle nörolojik hastalıkların tanısında yapay zekayı kullanan OMÜ Tıp Fakültesi Nöroloji Anabilim Dalı, çalışmalarına devam ediyor.

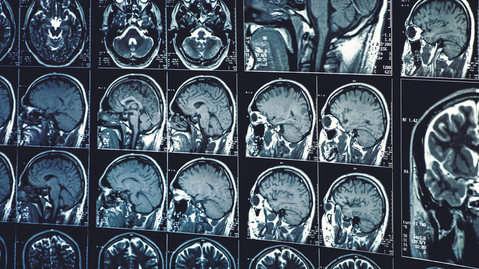
        "KİŞİNİN MR VE YÜRÜME GÖRÜNTÜSÜ İLE SESİNİ MAKİNEYE YÜKLÜYORUZ"

        Bu çalışmalara öncülük eden Prof. Dr. Murat Terzi, "Yapay zeka veya dijital teknoloji günümüzde oldukça önemlidir. Bütün dünyada olduğu gibi Türkiye'de de her alanda çalışmalar devam ediyor. Sağlıkta da yapay zeka çalışmaları sürüyor. Türk Nöroloji Derneği ve OMÜ olarak yapay zeka çalışma ekibimizle beraber sağlıkta hem tanıyla ilgili hem de hastalığın tedavi sürecinde belirleyiciliğiyle ilgili çalışmaları yapıyoruz.

        Nörolojik hastalıklarda Alzheimer, Parkinson, MS veya sinir, kas hastalıklarıyla ilgili yapay zeka çalışmalarımız var. Burada özellikle emar (MR) görüntülerini, beyin MR'ı veya omurilik MR'ı görüntülerini makineye tanıtarak yapay zeka aracılığıyla bu görüntünün hastalık olabilir veya beyin hangi bölgesinde bir etkilenme olabiliri makineye söyletmeye çalışıyoruz. Özellikle hastaların ses analizleri ve yürüme analizleri ekleyerek hastalarda tanıya varmaya çalışıyoruz. Baktığımızda yapay zekanın yüzde 90'ın üzerinde bazen yüzde 95'lerde doğru bir tanı koyabildiğini, ayırıcı tanı yapabildiğini ve hastalığın seyri ile ilgili önemli bilgiler verdiğini görüyoruz. Yapay zeka şu anda gelişme aşamasındadır" dedi.

        "YÜZLERCE HASTA KAYDI YAPTIK"

        MS hastaları ilgili yüzlerce hasta kaydı yaptıklarını ifade eden Terzi, "Özellikle MS ile ilgili geliştirdiğimiz veri tabanıyla ilgili MS hastalarımız bu veri tabanına kaydediyoruz. Şu anda yüzlerce hasta kaydı yaptık. Tabii, bunları söyleyebilmek için daha fazla verilerin analiz edilmesine gerek var. Başka arşivde olmayan sadece kendi vakalarımızı, olgularımızı kullanarak bu yapay zekayı geliştiriyoruz. Bunu yaparken mühendislerle, psikologlarla, fizyoterapistlerle iş birliği içerisinde entegre bir şekilde bunu yapmaya çalışıyoruz. Hem Amerika'dan hem de Avrupa'nın bazı ülkelerinden hem komşu coğrafya ülkelerimizle geliştirme arzusundayız. İş birliklerimiz devam ediyor. Bizim amacımız yapay zekayı en iyi şekilde eğitmektir" diye konuştu.

        ÖNERİLEN VİDEO

        Tepki çekti

        Hadise, paylaştığı "Türkiye, yardıma muhtaç" videosuyla tepki çekti

        GÜNÜN ÖNEMLİ MANŞETLERİ