Habertürk
    Takipde Kalın!
      Günlük gelişmeleri takip edebilmek için habertürk uygulamasını indirin

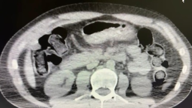
        Nevşehir'de polis ekiplerince düzenlenen operasyonda midelerinde uyuşturucu sevkiyatı yapan 2 şüpheli gözaltına alındı.
        Nevşehir İl Emniyet Müdürlüğü Narkotik Suçlarla Mücadele Şube Müdürlüğü ekipleri, kentte uyuşturucu ve uyarıcı madde ticareti yapmak ve kullanmak suretiyle vatandaşları zehirleyen sokak satıcılarına yönelik çalışma başlattı. Cumhuriyet Başsavcılığı koordinesinde çalışmalarını yoğunlaştıran ekipler, şüpheliler S.B. ve O.R.'nin 'yutma yöntemi' ile kente uyuşturucu madde sevk edeceği bilgisi üzerine operasyon düzenledi. Şüphelilerin ikametlerinde ve araçlarında yapılan aramada 101 kapsül halinde 722 gram uyuşturucu madde, 1 adet hassas terazi, uyuşturucu madde sevkiyatında yutma yönteminde kullanılan muhtelif materyaller, uyuşturucu madde ticaretinden elde edilen 20 bin 210 TL, bin 320 euro ve 10 ABD doları ele geçirildi. Emniyetteki işlemlerinin ardından adliyeye sevk edilen 2 şüpheli, çıkarıldıkları mahkemece tutuklanarak cezaevine gönderildi.

        Anadolu Ajansı, DHA ve İHA tarafından geçilen tüm Nevşehir haberleri, bu bölümde Haberturk.com editörlerinin hiçbir editoryal müdahalesi olmadan otomatik olarak ajans kanallarından geldiği şekliyle yer almaktadır. Nevşehir Haberleri alanında yer alan haberlerin hepsinin hukuki muhatabı haberi geçen ajanslardır.

        Günün Önemli Manşetleri

        Benzer Haberler