Klimalardaki sinsi tehlike! Koronavirüsle birleştiğinde ölümcül risk oluşturabiliyor
Hava sıcaklıklarının yükselmesi ve koronavirüs kaynaklı evde geçirilen zamanın artmasına bağlı olarak klima kullanımında artış yaşandı. Uzmanlarsa bakımı yapılmayan klimaların pek çok hastalığı beraberinde getirdiği yönünde ciddi uyarılarda bulunuyor. Dr. Öğr. Üy. Mikrobiyolog İpek Ada Alver, "Filtre değişimleri ve bakımları yapılmamış klima kaynaklı hastalıklara özellikle Kovid-19 döneminde çok dikkat edilmesi gerekmektedir" dedi
Dr. Öğr. Üy. Mikrobiyolog İpek Ada Alver, "Klima filtrelerinin tıkanması sonucu üreyen hastalık yapıcı mikroorganizmalar akciğerlere yerleşerek pnömoni (zatürree) benzeri hastalıklara sebep olduğundan koronavirüs çok daha ağır geçebilir" açıklamasında bulundu.
"TEMİZLENMEYEN KLİMALAR AĞIR ZATÜRREEYE NEDEN OLUYOR"
Filtresi değiştirilmemiş ya da bakımı yapılmamış klimaların hastalık tehlikesi saçtığını ve öldürücülük oranı yüksek Lejyoner hastalığına sebep olduğunu söyleyen Dr. Alver, klima hastalığı olarak da bilinen Lejyoner hastalığının ilk kez 1976 yılı temmuz ayında Philadelphia 58. Geleneksel Amerikan Askeri Birliği toplantısında bir otelde konaklayanlarda meydana geldiğini ve enfekte olan 221 katılımcıdan 34´ünün hayatını kaybetmesiyle ortaya çıktığı bilgisini verdi. Ölümlerin, otelin havalandırma sisteminde üreyen yeni bir bakteri türü olan Legionella´dan kaynaklandığının belirlendiği olay sonrası hastalığın Lejyoner (klima) hastalığı olarak adlandırıldığını belirten Ada Alver, "Bu bakterinin yaşam alanı, insan yapımı su sistemleri, yüzme havuzları ve spalar, süs havuzları ve fıskiyelerden tutun da evlerimizdeki ve tesislerdeki su arıtım cihazları, nebulizatörler, duş başlıkları ve musluklar, marketlerdeki sebze sulama sistemleri ve içme sularına kadar geniş çeşitlilik göstermektedir. Fakat daha çok klima ve havalandırma sistemlerinde rahatlıkla yaşamını sürdürebilmektedir" diye konuştu.
BU BELİRTİLER VARSA DİKKAT!
Genellikle bakımı yapılmamış klimaların tehdit oluşturduğunu vurgulayan Mikrobiyolog Alver, "Klima filtreleri kirli olduğundan havayı filtre edemeyecek ve dolayısı ile kirli havayı tekrar geri ve daha yüksek hızda ortama vereceğinden, klima filtrelerinde üreyen ve havaya karışan mikroorganizma içeren partiküllerin solunması ile bakteriler akciğerlere geçer. Bu aşamadan sonra ise kişinin bağışıklık sistemine göre 2 çeşit hastalığa yol açar: Lejyoner hastalığı ve Pontiak ateşi.
Lejyoner hastalığının şiddet aralığı, hafif bir öksürük ve düşük ateşten, hızlıca ilerleyen pnömoniye kadar gidebilmektedir. Özellikle, erkeklerde, 50 yaş üstü erişkinlerde, sigara kullananlarda, hasta, bağışıklık sistemi zayıflamış ve akciğer rahatsızlığı bulunan kişilerde daha fazla meydana gelmektedir" ifadelerini kullandı.
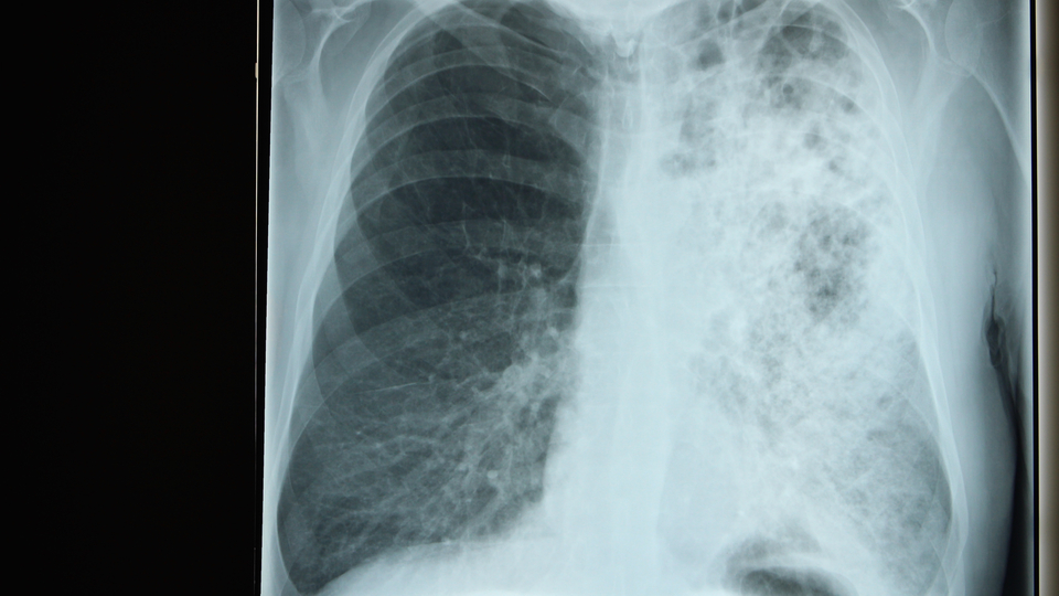
Lejyoner hastalığının pnömoninin akut tipi olup erken safhalarda ateş, baş ağrısı, kas ağrısı, ileri safhalarda ise nefes darlığı, ishal, bulantı, merkezi sinir sistemi bozukluklarına yol açabildiğini belirten İpek Ada Alver, "Bu hastalığa bağlı ölüm oranının yüzde 10-15 olduğu belirlenmiştir. Pontiak ateşi de soğuk algınlığına benzer semptomlar göstermektedir. İnkübasyon (kuluçka süresi) periyodu 1-3 gün süren hastalıkta yüksek ateş görülmekte ve 2-5 gün içerisinde iyileşme sağlanabilmektedir. Pontiak ateşinde, pnömoni oluşmadığı sürece ölüm görülmemektedir" diyerek klimalardan bulaşan bakterilerin sağlığı tehdit edici etkilerinden bahsetti.
"KORONAVİRÜS DÖNEMİNDE ÖLÜMCÜL RİSKLER OLUŞTURABİLİR"
Klimalardan bulaşan enfeksiyonların kaynağı olan bakterinin zatürreeye neden olduğunu belirten İpek Ada Alver, "Koronavirüs de ARDS (Akut Solunum Sıkıntısı Sendromu) tablosuna neden olduğundan ve solunumu önemli ölçüde etkilediğinden dolayı klimalardan bulaşan enfeksiyonların yol açtığı zatürree tablosu ile birleşince ölüm oranlarında artışları tetikleyebileceğinden klima bakımına önem verilmesi gerekmektedir" dedi.
Klimalardan bulaşan enfeksiyonların önüne geçebilmek için gereken önlemlerin alınması gerektiğinin altını çizen Mikrobiyolog İpek Ada Alver şu tavsiyelerde bulundu: Klima ve havalandırma sistemlerinin filtreleri yılda en az 1 kez değiştirilmeli ve bakımları yapılmalı. Özellikle fabrika, okul, hastane, AVM gibi büyük çaplı havalandırma sistemlerinin olduğu ünitelerde ortak merkezi sistem havalandırılmalarından kaçınmalı, HEPA ve ULPA şeklinde yüksek filtrasyon özelliğine sahip filtreler tercih edilmeli ve rutin bakımları yapılmalıdır. Havayı temizleme özelliği bulunan klimalar tercih edilmesi gerekmektedir. Legionella bakterilerinin mevcut olduğu sistemlerde uygun yöntemlerle (termal, kimyasal ve radyasyon ile eradikasyon yöntemleri) ile gerekli dekontaminasyon işlemleri başlatılmalı ve klima çarpması olarak adlandırılan soğuk algınlığı belirtileri, hafif belirtilerden klinik belirtilere doğru yönelirse muhakkak doktora başvurulmalı."